What is composite bonding?
Composite bonding is a procedure whereby a tooth-coloured composite resin is sculpted and bonded on to the tooth, either covering parts of it or the whole surface like a veneer. Dental bonding treatment is very versatile, reversible, pain free and can be used to address a myriad of issues that undermine your smile.
No pain, drilling or injections.Choose the best.
Dr Dipesh Parmar has a global reputation and is considered to be one of the best dentists in UK for Composite Bonding and Cosmetic Dentistry. He lectures internationally, runs the UK’s most successful composite bonding course for dentists and is also a Full Member of the British Academy of Aesthetic Dentistry.
With his international reputation, many of his patients are dentists or patients referred by dental professionals.
Book Your Initial Composite Bonding Consultation
Benefits of Composite Bonding
Composite dental bonding uses tooth coloured materials that are artistically sculptured to blend and match perfectly with your existing teeth or choose whiter shades for that Hollywood smile.
Same Day Smile
Dental bonding treatment is usually undertaken in one single appointment! Many of our patients travel from London, Manchester, Ireland, all over the country to have their Composite Bonding with Dr Dipesh Parmar.No Pain, Drilling or Injections
One of the best aspects of bonding is it doesn’t require any drilling or anaesthesia, so you can go about your business directly after your visit. It is a pain free procedure with instant results.Your Teeth are Unharmed
Cosmetic dental bonding is a non-invasive treatment, which means no drilling of your natural teeth and you will have better looking healthy teeth for longer.What is the difference between composite bonding and composite veneers?
Composite Bonding
Composite bonding, also known as edge bonding or cosmetic bonding refers to cases where part of the tooth surface is covered.
This is usually the edges of teeth to level the lengths or the sides of teeth to close gaps.
Composite Veneers
Composite veneers use the same materials but the whole surface of the tooth is covered with composite resin to give a new, perfect, cosmetic look using whichever shade you prefer.
Composite edge bonding allows small changes to be made, where as with composite veneers, full same day smile makeovers are possible in Birmingham, Solihull and Bromsgrove.
Get in touch to book your expert Smile Evaluation
Why choose Acorn Dental?
The compelling mix of clinical excellence, warmth, and informality ensures everyone receives the friendliest welcome, free from dental jargon or confusing information. We provide award winning cosmetic dentistry, your trust is in safe hands at Acorn Dental.
Award-winning dentistry. Local to you.
With practices in Moseley and Barnt Green, Birmingham, choose Acorn Dental for your Composite bonding, Composite Veneers and Same Day Smile Makeovers:
Dr Dipesh Parmar has a worldwide reputation
We are the dentists for dentists
The best composite bonding in the UK
Free adjustments included
Late evening and Saturday appointments available
Award winning and 400+ 5 star reviews
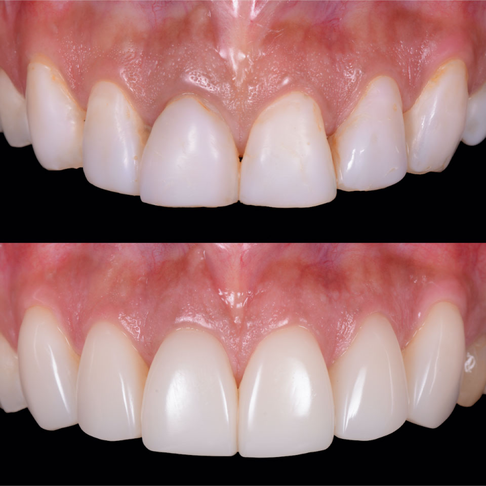
Check out our before and after composite bonding cases
The quality of our work speaks for itself. We have an international reputation on excellence and aim to preserve that for generations to come.


Composite bonding can be used to repair uneven edges, chipped teeth and old fillings


Composite bonding can be used for same day smile makeovers


Composite bonding can be used to give a white Hollywood smile


Composite bonding can be used to correct discoloured teeth


Composite bonding can be used to close gaps and spaces between teeth


Composite bonding can be used to improve the shape, colour and size of teeth
What is involved with Composite Bonding?
1. Consultation
We perform a comprehensive examination and discuss your cosmetic requirements.
2. Planning
We take all necessary information required to plan your case and provide you with a comprehensive treatment plan.
3. Trial Smile
For complex cases, we can perform a mock-up of the expected result to give you a visual of the outcome.
4. Composite Bonding
The composite resin is sculpted and bonded onto the teeth to be treated.
5. Polishing
The restorations are shaped and polished to look and feel like natural teeth.
6. Review
A final check over of the restorations with adjustments as necessary.
Have you got a question or an enquiry for our team?
If you are interested in any of our treatments please do not hesitate to get in touch with us by filling out the form – one of our team members will get back to you as soon as possible.
Frequently Asked Questions
Composite bonding is a procedure whereby a tooth-coloured composite resin is sculpted and bonded on to the tooth, either covering parts of it or the whole surface like a veneer.
Composite bonding is ideal for patients who would like to improve the appearance of their smile but don’t need more substantial restorative procedures like veneers and crowns. Your dentist will assess your suitability at your initial consultation following a thorough examination of the health of your teeth and gums. If you wish to improve the colour of your teeth, your dentist may recommend whitening your teeth first, to allow the new composite bonding to match your whiter teeth. Ask your dentist about Enlighten whitening. It guarantees long lasting results with simple at-home maintenance.
Composite bonding is very versatile and can be used to address many issues that may make you unhappy about your smile. It can be used to improve the colour, shape and size of your teeth. Many patients in the UK travel to Dr Dipesh Parmar to have gaps and spaces closed between their teeth, repair chipped and fractured teeth and restore worn teeth.
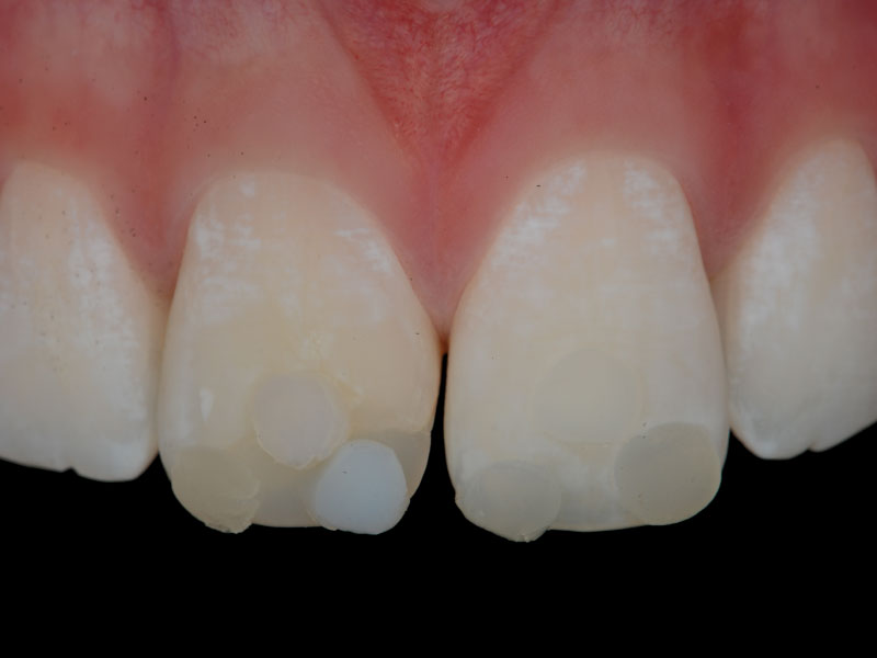
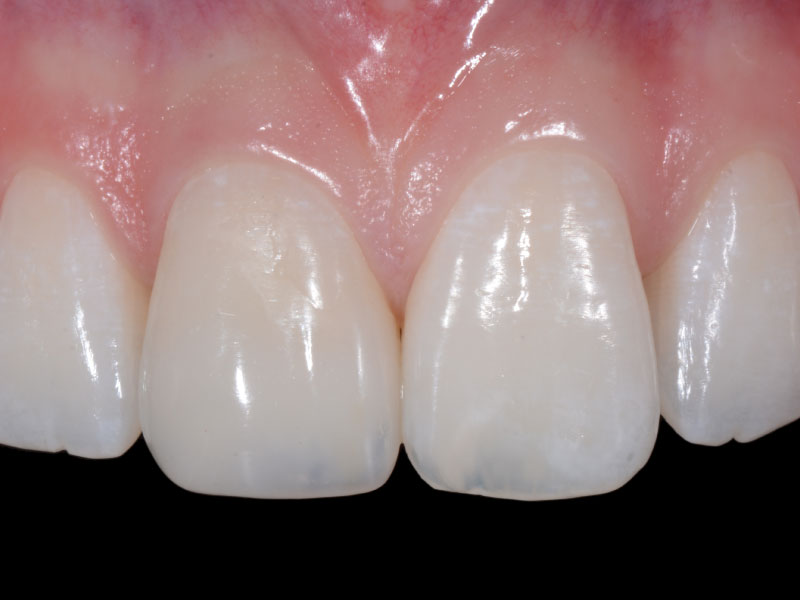
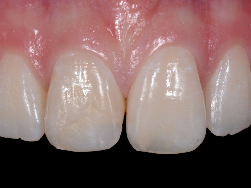
The teeth are cleaned to remove any debris. The tooth is first etched to roughen the surface microscopically. An adhesive is then painted onto this surface and set using a bright light. A composite resin material is then sculpted in layers to the desired shape and size, and finally set using a bright light. The restoration is then finished and polished to resemble a natural tooth.
Most cases are completed pain-free and without the need for a local anaesthetic injection in a single appointment. For more complex cases involving multiple teeth or replacement of existing large restorations, we may need to use local anaesthestic. If you are very anxious, we can offer you sedation.
In most cases, no. Dental bonding is different to ceramic veneers which usually require some preparation of the tooth surface to create space for the porcelain veneer.
Most dentists do composite bonding using one shade of material. Although this works for most cases, there are cases, especially for larger build ups, where you would get a more aesthetic result using various shades of composite resin to give you more life-like results. Although, this makes treatment time slightly longer and a little more expensive, the end result is much better as the restoration looks indistinguishable from your natural teeth. Again, your dentist can discuss the different options with you and you can co-decide what is best for you.
As with any cosmetic dental procedure, composite bonding does not last forever and will eventually need replacing. Typically, we find composite bonding will look at its best for around 5 years. We have seen cases last for longer in patients who really follow maintenance instructions and look after their composite bonding.