Dental Implants in Birmingham
What are Dental Implants?
A dental implant is a titanium screw that is placed within the jaw bone under the gum. Once the implant has fused with the bone, the implant is used to fix a crown, bridge or denture that sits above the gum.
Dental implants are considered to be the gold standard treatment for the replacement of missing teeth. They are completely safe and they look, feel and function like your own natural teeth so you can smile and eat with confidence.
Relax – you’re in safe hands.
Finance Available
from only £50 per month
Contact Us About Finance
Birmingham Dental Implant Clinic
What are the benefits of dental implants?
- Cosmetic: A complete smile without any gaps or spaces.
- Healthy: No drilling and damaging neighbouring teeth.
- Function: Smile, speak and eat with confidence
- Hygienic: Easier to clean and maintain your other teeth.
- Preservation: Maintain bone and enhance your facial volume and profile.
- Versatile: Replace one, a few or all teeth with different implant configurations.
Book Your Initial Dental Implant Consultation
Don’t just take our word for it…
Local Birmingham Dental Implants
How many Implants do you need?
The number of dental implants you need depends on the number and position of your missing teeth. Usually one dental implant replaces one missing tooth. However, if you have multiple missing teeth, depending on their location within the mouth, costs can be reduced by making implant-supported bridges and dentures.
Learn more by clicking on what applies to you:What is involved in your dental implant journey?
1. Consultation
An informative and comprehensive examination to identify your needs and wants.
2. Planning
Digital and human expertise combine to create your tailored treatment plan.
3. Placement
Dental implants are painlessly and precisely placed into your jaw.
4. Healing Period
We leave things to heal for the implant and bone fuse together.
5. Smile Design
Perfectly crafted teeth of the highest quality are made for you in our in-house dental laboratory.
6. Complete Smile
We fit the teeth onto your implants and voila, your smile and function are returned.
How much do Dental Implants in Birmingham cost?
We understand that with the cost of living increasing, dental implants need to be more affordable. That’s why here at Acorn Dental we can offer dental implants in Birmingham on finance through monthly payments.
Do you have a failing or missing tooth?
We provide dental implant treatment in Birmingham for replacing a single tooth. from £50* per month
Do you have a few failing or missing teeth?
We have dental implants treatment in Birmingham for multiple missing teeth. from £80* per month
Are all your teeth failing or missing?
We offer treatment to replace all the teeth on your lower or upper jaw. from £200* per month
With practices in Moseley and Barnt Green, Birmingham, choose Acorn Dental for your Birmingham Dental Implant treatment:
Highly skilled surgeon Dr Manoj Parmar has a Masters Degree in Dental Implantology
State-of-the-art facilities with cutting edge technology
World class ceramic work from UK Best Aesthetic Dental Technician Hit Parmar
Over 5000 implants placed and 20+ years experience
Late evening and Saturday appointments available
Award winning dentists with 400+ 5* reviews
Book Your Initial Birmingham Dental Implant Consultation
Dental Implants in the West Midlands
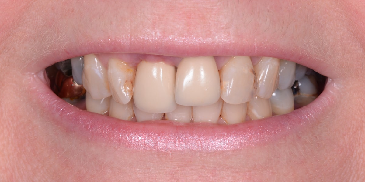
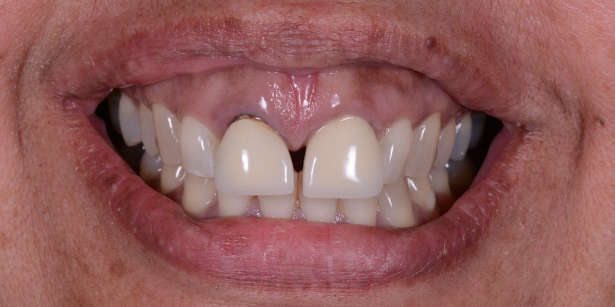
Before and After Dental Implant Cases
We’re so proud of our work and the difference it makes to our patients’ confidence and lives. Our Birmingham based dental implant treatment is truly transformational as our patients have reflected in their reviews.


Ms EH presented with multiple missing teeth, badly broken down teeth and discoloured teeth. Her smile makeover involved multiple crowns and dental implants made using an age-appropriate shade to keep her smile looking natural.


Mrs RS wanted a Hollywood smile makeover after years of broken teeth and lost fillings. A combination of veneers and dental implants were used to bring this smile back to life and make her ten years younger!


Mrs JC was referred to us by another Dentist. Her teeth were rotting away and her crowns were chipping. Multiple crowns and dental implants where used to restore the function, health and aesthetics of her smile.


Mrs KW had an infection in her front two teeth which needed to be extracted. One dental implant was placed, and a bridge with two teeth was placed on the implant.


Mrs MD came in complaining of loose dentures that were giving her pain and making it difficult for her to eat. We used the All-on-4 implant treatment to give her same day teeth.


Mrs HV was referred to us by another dentist as she had gum disease affecting her two front teeth. Unfortunately they had to be extracted and they were replaced with two dental implants using instant teeth in a day.
Don’t just take our word for it!
See what our patients from Birmingham, Solihull and Bromsgrove have to say about our dental implants treatment:
Birmingham Dental Implant Clinics
What can go wrong with dental implants?
As one of the leading dental implant clinics in Birmingham, we often see patients who have had implant dentistry elsewhere that was poorly planned or carried out by inexperienced Implantologists using cheap materials. We never compromise on the quality of materials or standards, and our team is one of the UK’s most experienced.
These are just a few of the reasons why Acorn Dental is the clinic of choice for dentists referring patients for dental implants in Birmingham, Bromsgrove and Solihull. And our expertise is why dental professionals from across the UK refer patients who need complex and advanced procedures.
Contact us to find out more.
Have you got a question or an enquiry for our team?
If you are interested in a dental implant consultation please do not hesitate to get in touch with us by filling out the form – one of our team members will get back to you as soon as possible.
Frequently Asked Questions
Dental implants are artificial replacements for teeth that have been lost through gum disease, tooth decay, trauma or even teeth that have been missing since birth. A dental implant consists of a titanium screw that replaces the root of a tooth in your jaw bone, on to which a crown is secured to match your other teeth. Multiple implants can provide fixed support for bridges and dentures.
Missing teeth will affect your ability to eat, it may affect your speech and often it impacts your self-confidence. Also once teeth are lost, the bone in which they are embedded gradually disappears because it is no longer required to support the teeth, and this will change your facial volume and profile. It is also worth understanding that when you lose teeth, the remaining teeth are taking the extra load for them, and this may cause them to move and breakdown sooner.
Until recent years, the only options for replacing missing teeth were bridges and dentures. Bridges involve drilling healthy neighbouring teeth and dentures are often loose and cause pain. Unlike dentures or a bridge, a dental implant becomes firmly integrated with your own bone and functions the same as a natural tooth. That means it is stable, permanent, matching to your existing teeth and keeps your jaw bone healthy and maintained.
At your consultation, it will be discussed whether you are suitable for immediate-loading or delayed-loading dental implants. Immediate-loading means that a crown can be placed at the time of implant placement, so our patients in Birmingham, Bromsgrove and Solihull have same-day teeth. Delayed-loading means that the implant is left to heal for around 3-6 months, following which the crown is placed.
Implants are a safe, well established, and predictable way to replace missing teeth providing you are seeing a qualified and experienced surgeon (Implantologist) for your treatment. How well you look after them and whether you go for regular maintenance with a dental hygienist will most definitely impact their durability but given the right care, they should last as long as natural teeth.
The procedure is performed under local anaesthetic so you will not feel any pain during or shortly after the treatment. As the anaesthetic wears off, you may feel some discomfort that is easily soothed with pain-killers.
Implants will not overcome gum disease and although uncommon, this is one of the ways implants can fail. However, implants are still successfully used to replace teeth lost through gum disease providing the disease is brought under control, and meticulous oral hygiene is maintained. It is critical your oral hygiene is of the highest standard, supported by regular visits to the hygienist. We will explain all of this as part of the implant process.
The average cost of a dental implant at Acorn Dental is around £2500, which equates to about £52 a month when financed. Your quote may be slightly less or more depending on the complexity of your case, whether a bone graft or soft tissue graft is required and the grade of final crown you choose to secure to the implant.