What is Invisalign?
Invisalign involves a series of clear, removable aligners each one being worn for 1-2 weeks then changed for the next aligner, gradually moving your teeth to the desired end goal.
All aligners are bespoke for each patient to achieve a beautiful natural smile.
Made to move your life. Not disrupt it.
Finance Available
from only £28 per month
Contact Us About Finance
Why choose Invisalign?
- Comfortable: No braces, wires or train tracks
- Clear: Practically invisible so no one knows you are wearing them
- Convenient: Change the aligners at home so less visits to the practice
- Clean: They are removable allowing you to clean your teeth properly
- Confidence: Smile and speak with no visible wires and brackets
Book Your Initial Invisalign Consultation
Seeing is Believing
With Invisalign your dentist can take precise 4D digital scans of your teeth and show you a simulation of what the end result will look like before you commit to treatment. We will work with you to map out a treatment plan that you are happy with.
What is the Invisalign® process?
Consultation
Our team of Invisalign dentists in Birmingham will assess your suitability and discuss the Invisalign treatment.
4D Smile & Plan
We will take 4D iTERO digital scans of your teeth, show you a simulation and work with you to design your new straighter teeth.
Treatment
Wear your aligners according to your Invisalign treatment plan and watch your teeth gradually straighten.
New Smile!
Enjoy your new teeth straightening treatment in Birmingham and get free Enlighten whitening and removable retainers worth £695!
Get in touch to book your expert Smile Evaluation
Why choose Acorn Dental for Invisalign in Birmingham?
The key to success in treatment is choosing the correct appliance for the individual case. Our world-renowned Dentist, Dr Dipesh Parmar, has a Masters Degree in Orthodontics and is highly trained in both Invisalign and fixed braces. Without bias, Dr Parmar will advise you on what is best for your teeth, smile and health.
Award-winning dentistry. Local to you. We're Birmingham Invisalign experts. With practices in Moseley and Barnt Green, Birmingham,
choose
Acorn Dental for your Invisalign treatment in Birmingham:
Expert initial consultation to discuss your treatment plan
FREE Enlighten whitening worth £395
FREE Essix removable retainers worth £300
Spread the cost! Finance options available
Late evening and Saturday appointments available
5 year guarantee with all Invisalign treatments
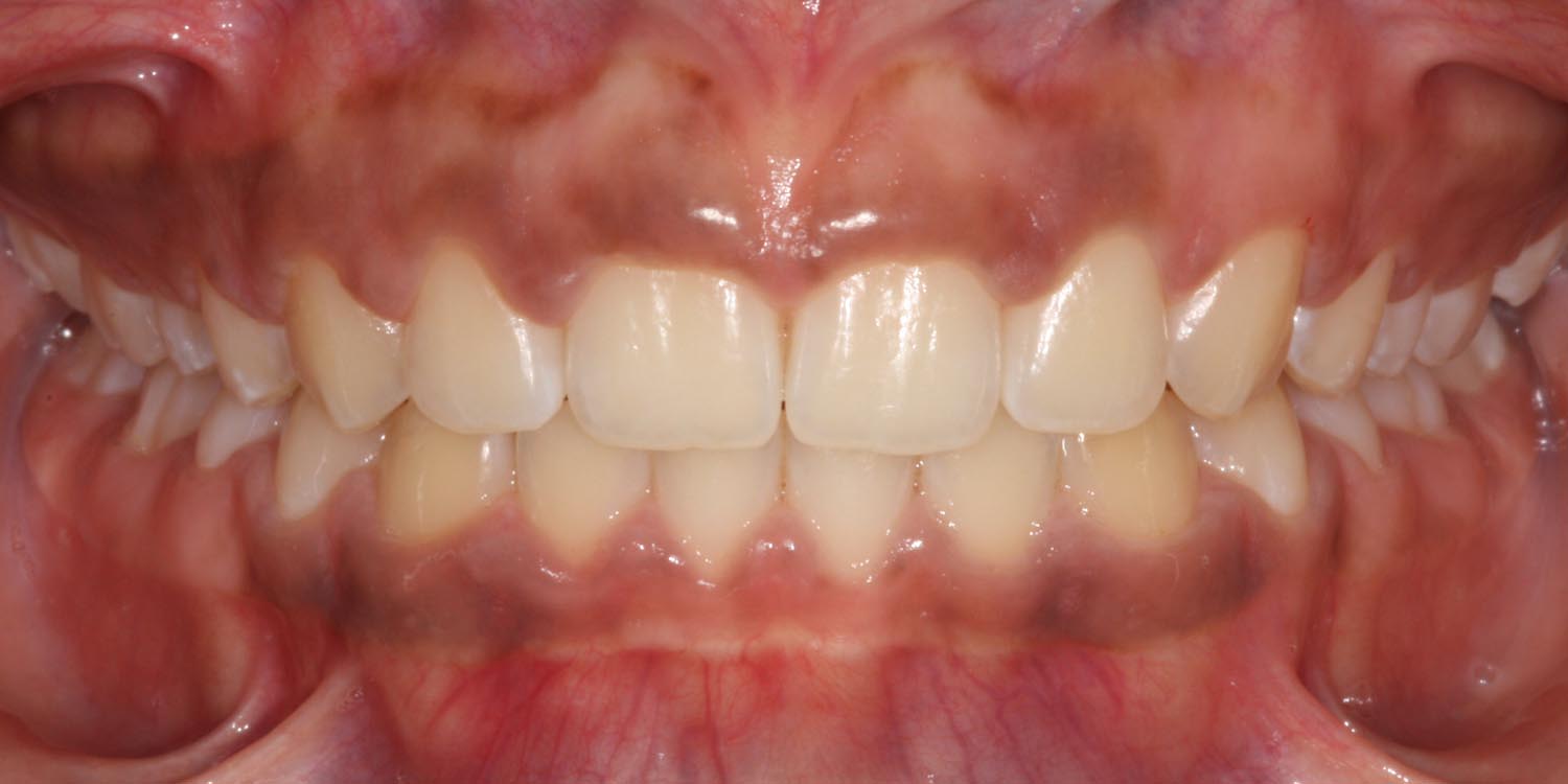
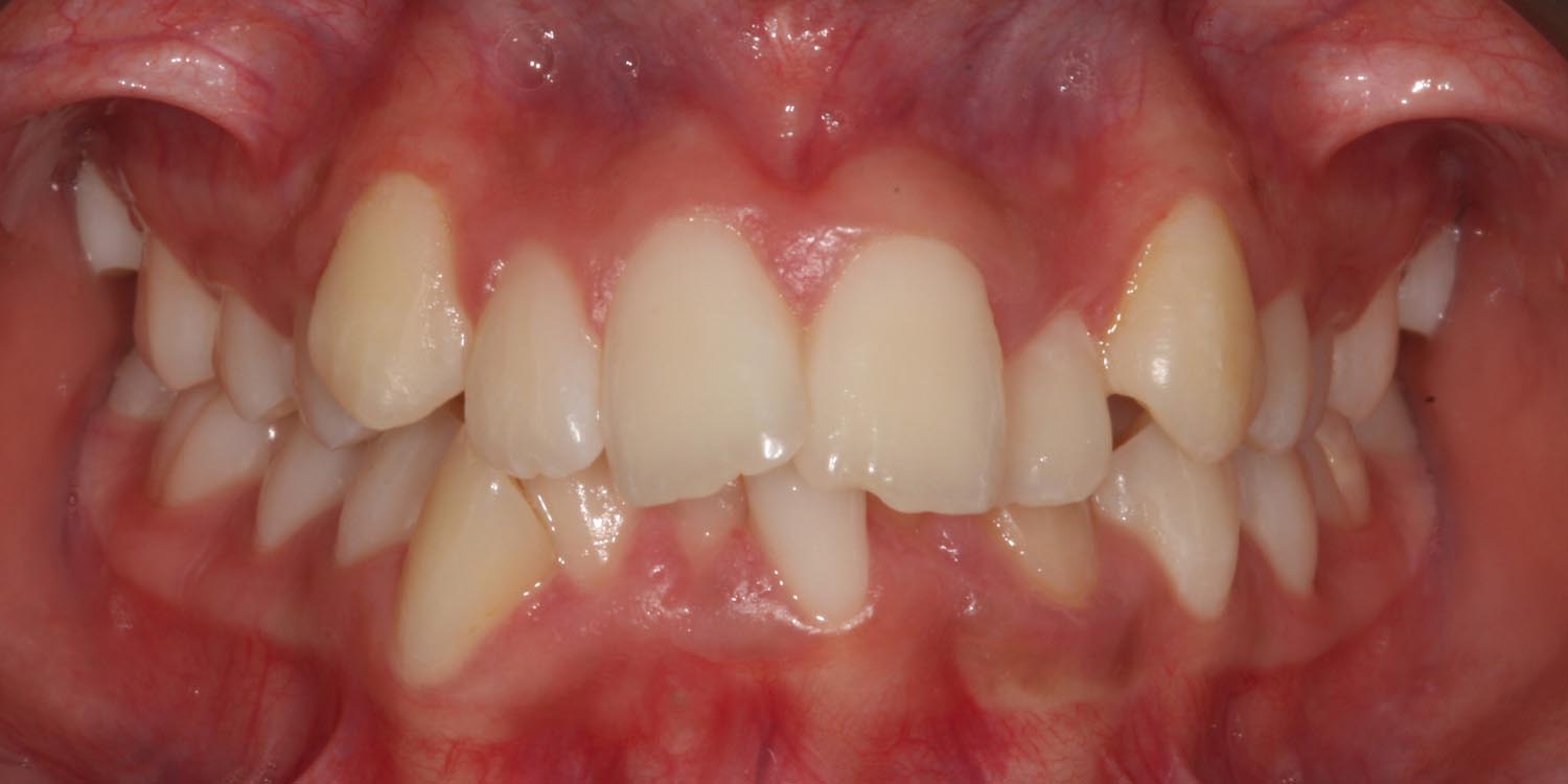
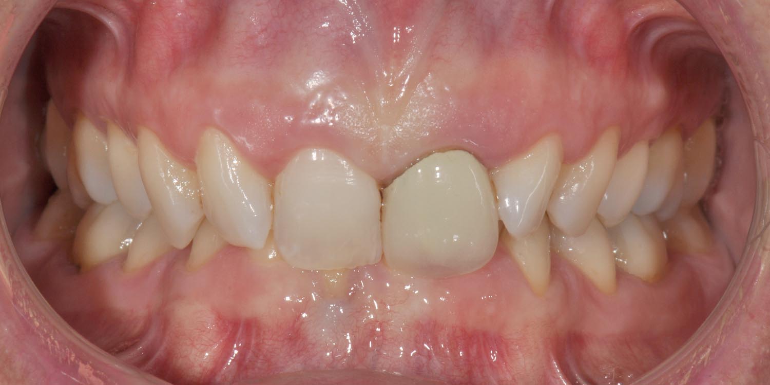
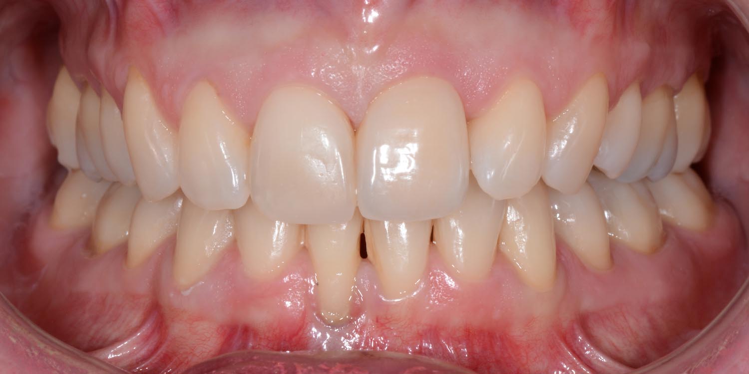
What smiles can be transformed?
Don’t just take our word for it. Check out some of our before and after Invisalign cases.


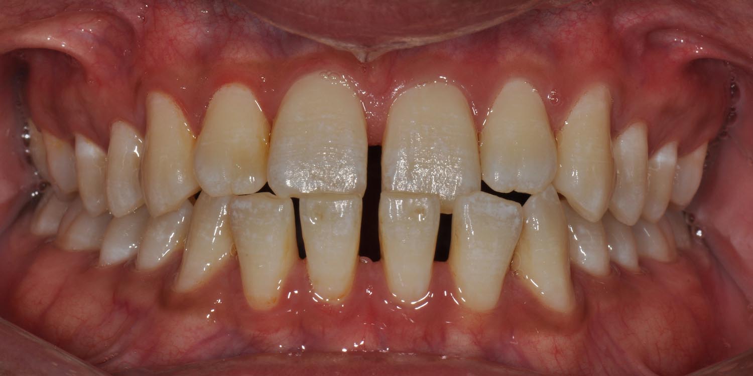
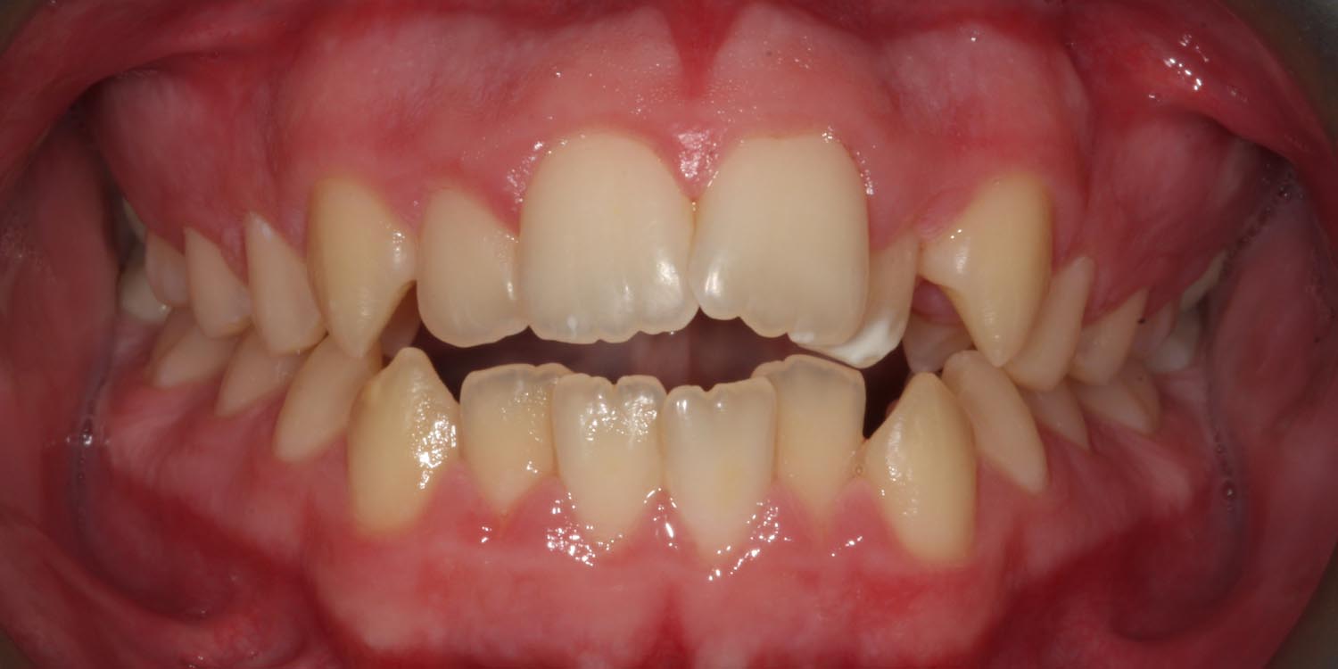
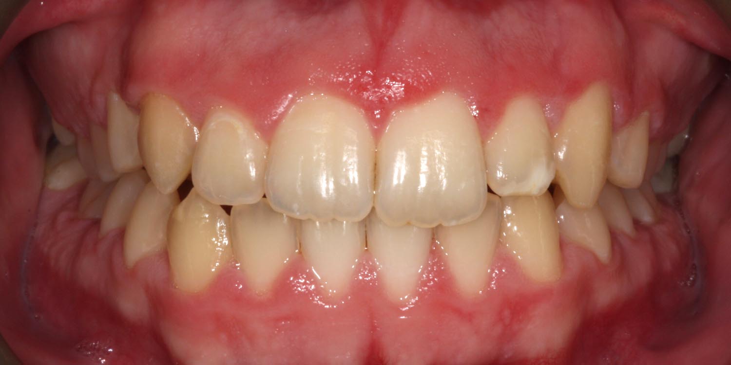
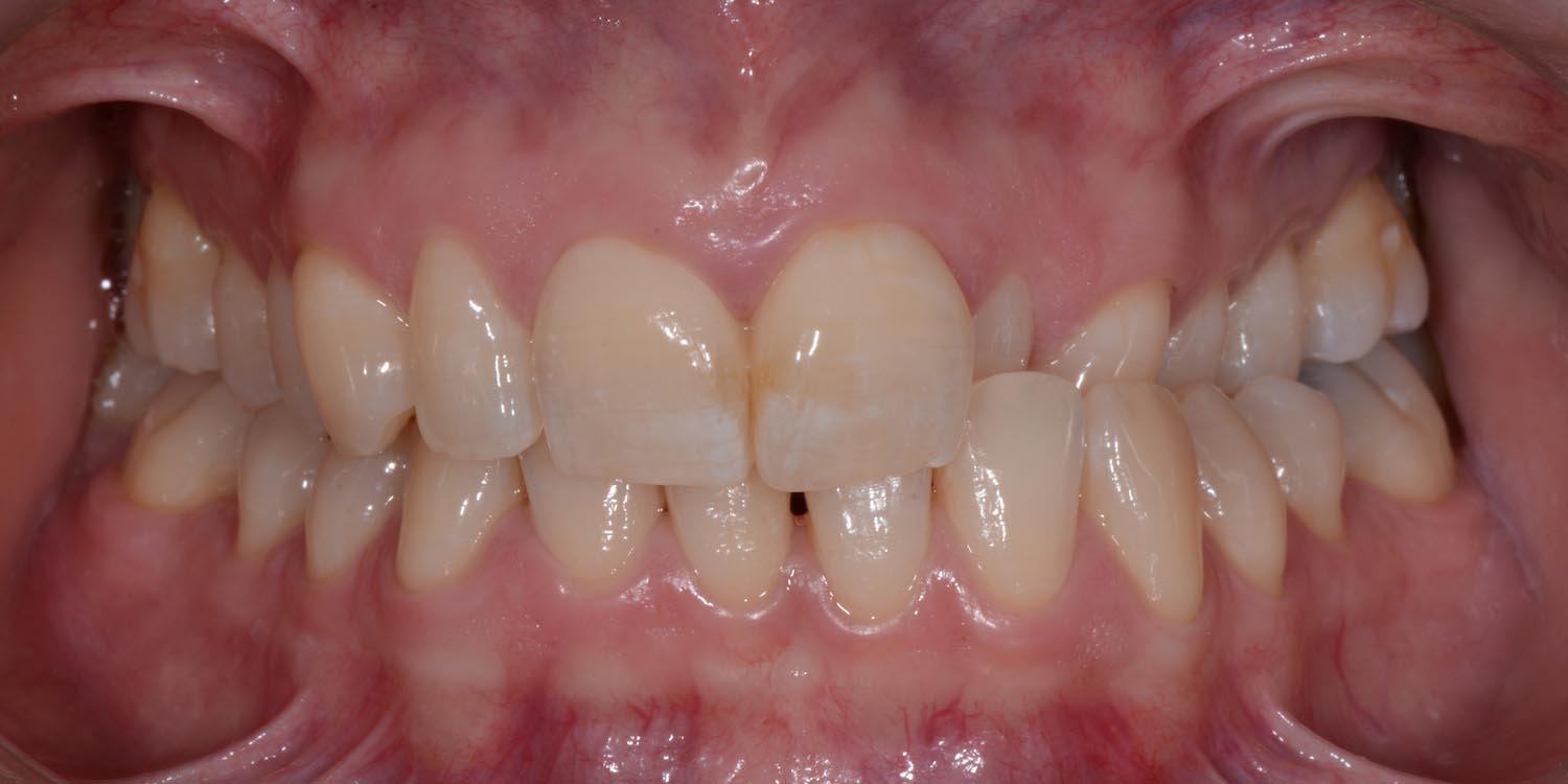
Invisalign can correct gappy teeth


Invisalign can correct crowded teeth


Invisalign can correct deep bites


Invisalign can correct under bites


Invisalign can correct open bites


Invisalign can correct cross bites
Book Your Initial Invisalign Consultation
Invisalign in Birmingham Costs & Finance
Every smile is unique so every Invisalign treatment journey is different. As a guide, Invisalign can usually cost between £2,500 and £4,500 depending on your treatment options and complexity.
Our Invisalign Treatment Offers at Acorn Dental in Birmingham
At Acorn Dental, you can get up to £1000 off on all our Invisalign treatments. Our treatment is quite affordable via various finance options with 0% interest rate.
| Term of Loan | 12 months | 24 months | 36 months | 48 months | 60 months |
|---|---|---|---|---|---|
| Treatment Cost | £4000 | £4000 | £4000 | £4000 | £4000 |
| Deposit | £0 | £0 | £0 | £0 | £0 |
| Amount of Credit | £4000 | £4000 | £4000 | £4000 | £4000 |
| Representative APR | 14.9% | 14.9% | 14.9% | 14.9% | 14.9% |
| Monthly Repayment | £359.09 | £191.99 | £136.65 | £109.24 | £93.01 |
| Total Amount Repaid | £43318.80 | £4607.76 | £4919.40 | £5243.52 | £5580.60 |
Have you got an Invisalign question or an enquiry for our team?
If you are interested in any of our treatments please do not hesitate to get in touch with us by filling out the form – one of our team members will get back to you as soon as possible.
Frequently Asked Questions
Every smile is unique so every Invisalign treatment journey is different. As a guide, Invisalign can usually cost between £2,500 and £4,500 depending on your treatment options and complexity.
The number of aligners varies from patient to patient. The average is about 18 to 30 aligners meaning that many treatments can be completed between 6 to 15 months.
Invisalign involves wearing a series of aligners, each one being worn for 1-2 weeks then changed for the next aligner in the series. This gradually moves your teeth to the desired end goal.
Invisalign braces are clear aligners and are virtually invisible, many people won’t notice you’re wearing them. You can remove whenever you like to eat and drink, to brush, floss, or for special occasions. There are no metal brackets or wires that could cause irritation in your mouth or break.
Invisalign moves your teeth by applying gentle and constant pressure. Some people do feel temporary discomfort for the first few days of wearing a new set of aligners. Typically, people describe it as feeling pressure and is normal, it’s a sign your Invisalign clear aligners are working.
Invisalign is a great solution for both adults and teens looking for a virtually invisible alternative to traditional braces. We will evaluate your suitability for Invisalign during your consultation.
Invisalign aligners are made of a clear flexible plastic. Specifically, a patented thermoplastic material called SmartTrack created exclusively for Invisalign Treatment.
You can remove your Invisalign aligners whenever you like to eat and drink, to brush, floss, or for special occasions.