What is teeth whitening?
Teeth whitening or dental bleaching is a safe, effective and inexpensive way to whiten and brighten the colour of your teeth. The procedure involves wearing custom-made trays that fit over your teeth into which the bleaching gel is placed. The trays are usually worn every night for 21 days.
Change your life. Not your lifestyle.
Why Enlighten Whitening?
Enlighten Evolution Whitening is the world‘s best performing teeth-whitening treatment.
- Guaranteed Vita B1 shade with long lasting results
- Less sensitivity compared with ‘laser teeth whitening’ and other whitening systems
- Anti-sensitivity and prolonged whitening serum toothpastes included
Book Your FREE Initial Enlighten Whitening Consultation
How do I get whiter teeth?
Consultation
Book a Consultation. Digital scans are taken of your teeth to make bespoke whitening trays.
Treatment
Collect your whitening trays and wear them overnight with a whitening gel for 3 weeks.
Review Appointment
Visit your teeth whitening dentist in Birmingham for a final appointment to check the results.
New Smile!
Smile in confidence with your new whiter teeth for only £395, (RRP £595).
Get in touch to book your expert Smile Evaluation
Do you have a single dark tooth?
If a tooth has been knocked or injured, the trauma can cause the nerve to die and result in a single dark dead tooth. The teeth can show discolourations ranging from dark yellow, brown to grey tones. If you have a discoloured dead tooth, these can be whitened using Internal Bleaching techniques where the whitening gel is applied to the internal surfaces of the dark teeth.
Contact us to find out more.
Why choose Acorn Dental?
The key to success in treatment is choosing the correct appliance for the individual case. Our world-renowned Dentist, Dr Dipesh Parmar, has a Masters Degree in Orthodontics and is highly trained in both Invisalign and fixed braces. Without bias, Dr Parmar will advise you on what is best for your teeth, smile and health.
Award-winning dentistry. Local to you.With practices in Moseley and Barnt Green, Birmingham, choose Acorn Dental for your Enlighten Whitening treatment:
We are an Enlighten Centre of Excellence
Dr Dipesh Parmar is a Key Opinion Leader for Enlighten
Only £395 - Save £200 (RRP £595)
Shade B1 guaranteed with Enlighten Whitening
Late evening and Saturday appointments available
We are leaders in Cosmetic Dentistry
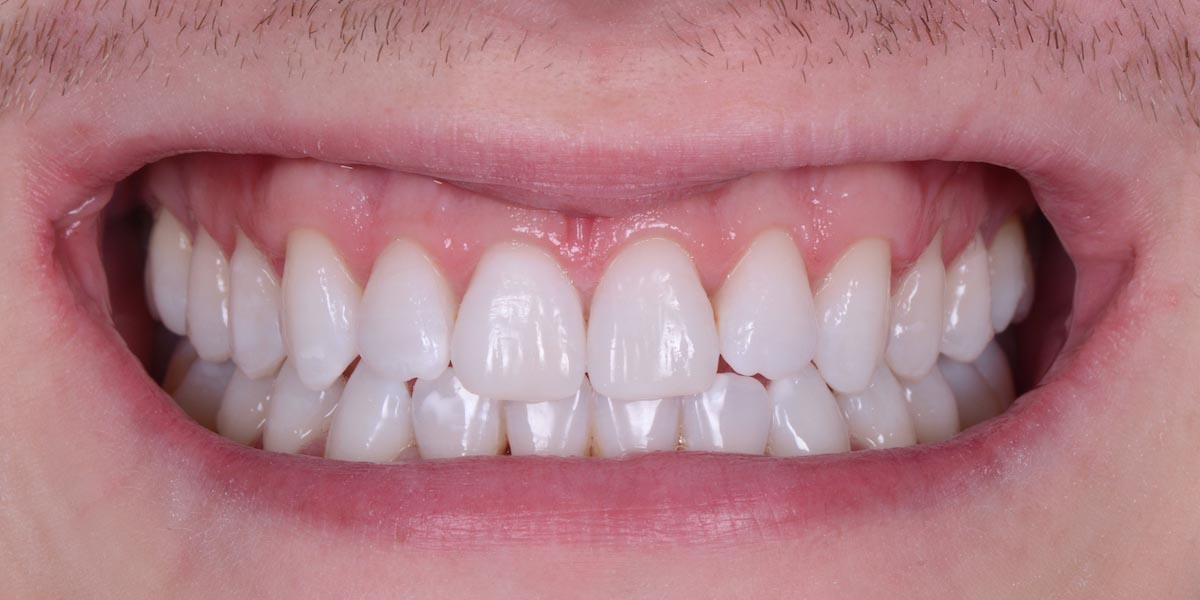
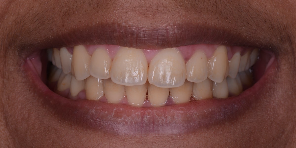
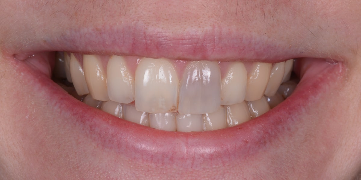
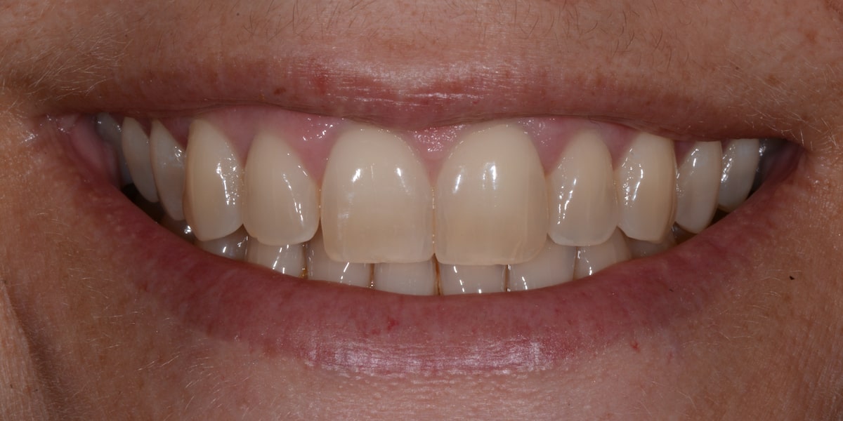
What smiles can be transformed?
Check out some of our before and after teeth whitening cases with Enlighten.












Have you got a question or an enquiry for our team?
If you are interested in any of our treatments please do not hesitate to get in touch with us by filling out the form – one of our team members will get back to you as soon as possible.
Frequently Asked Questions
Enlighten whitening can whiten up to 16 shades. Results vary, but if used correctly all teeth will whiten dramatically. Natural teeth rarely look too white. Smiles that have an all white appearance are usually because they have porcelain veneers or crowns.
No, sometimes you need to change some of these after you have had your whitening, therefore its suggested to have your whitening completed before any treatment.
It is completely safe. The materials used in Enlighten Whitening have been used in dentistry for over 100 years. You may get some sensitivity however your dentist will provide you with the desensitising swabs which work immediately. You will also receive a tube of serum toothpaste to brush with whilst you wait for your trays. This also helps with sensitivity.
Once your digital scans have been taken it will take two weeks for your trays to be delivered. They are thin and comfortable and must be worn for 21 days, on the 22nd day your dentist may see you for a review.
Results can last indefinitely with some very simple maintenance, wearing the trays for 1 night every month and continuing to brush with the tooth serum will also prolong results.
The active ingredient passes through the dental enamel, breaking down stains by chemical oxidation. The process can take some time so it is important to finish the treatment as directed by your dentist.